Knee Replacement
- Home
- Services
- Orthopaedics
- Knee Orthopaedics
- Knee Replacement
Knee replacement surgeries and procedures
The knee joint is one of the largest and most complex joints in the body. Maintaining healthy knees is essential for performing normal everyday activities such as walking, climbing stairs and kneeling.
When that function is disrupted by injury or disease, knee replacement surgery may be recommended as a way to restore mobility and reduce pain. Sometimes referred to as knee arthroplasty or total knee replacement surgery, this procedure is one of the most successful in modern medicine. During surgery, any diseased or damaged parts of the knee joint are removed and replaced with artificial parts that imitate the natural movement of the knee. The most common reason for knee replacement surgery is to reduce the severe pain caused by osteoarthritis.
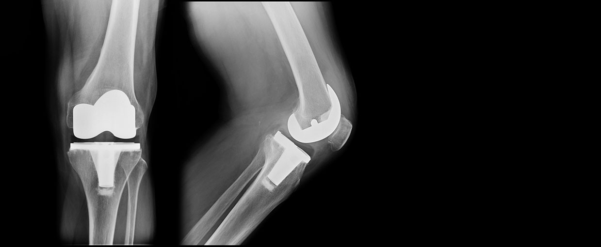
Total knee replacement surgery replaces the damaged parts of your knee with an artificial joint. It helps to relieve pain and restore function and mobility.
Partial knee replacement surgery is suitable when only one part of the knee joint is affected. It is often referred to as uni-compartmental surgery.
Revision knee replacement surgery replaces some or all of your original knee implants when they are no longer working effectively and causing pain.
Bilateral knee replacement surgery removes any damaged parts from both knee joints and replaces them with artificial implants. It can be performed simultaneously or as separate procedures.
Knee Replacement - Patient Journey
There are several types of surgery available that can successfully treat recurrent knee pain. The most common procedures are total knee replacement, partial knee replacement and revision knee replacement. We understand that undergoing a surgical procedure can be overwhelming, which is why we have multi-disciplinary teams on hand to support you every step of the way.

Deciding where to have your knee surgery is one of the most important decisions you will make, and it’s important to take some time to research your options carefully. You can ask your GP for recommendations and find out any relevant information specific to your surgery such as how many procedures have been performed previously. Once you are happy with your decision, you can book a consultation appointment with your specialist.

After a thorough medical examination, your specialist will diagnose your knee condition and discuss the different treatment pathways available to you. You can use this as an opportunity to ask any questions you may have about your knee condition such as how the procedure will be performed, what your recovery might look like and what you can expect to happen. Once you have decided on a course of treatment, you can begin to prepare for your hospital admission and surgery.

Your doctor will talk to you about any preparations you need to make in advance of surgery. This may include some pre-surgery exercises, prescribed medications or weight loss. Now is a good time to think about making any personal arrangements that will make your recovery more comfortable when you return home. Planning for your departure is a great way to ensure a quicker recovery. When you arrive at hospital, our friendly team will ensure you are comfortable, and your specialist will visit you to answer any final questions.

On the day of surgery, it is important to observe the fasting guidelines that your doctor has recommended. Once at hospital, your anaesthetist will visit you in your room to discuss the type of anaesthetic that will be used, and the procedure involved. Total knee replacement surgery can take up to 3 hours, after which time you will transfer over to the recovery ward.

After total knee replacement surgery you will require a few days of recovery in hospital after which time you can return home or go onwards to rehabilitation. Foot and ankle movement is encouraged immediately after surgery as this helps improve the blood flow and prevents swelling and clotting. We will ask you to stand and walk within 24 hours of your operation as early movement helps aide your recovery. We will help manage your pain and keep you as comfortable as possible.

Rehabilitation is a vital part of your recovery and our rehabilitation team includes physicians, physiotherapists and occupational therapists that will guide you each step of the way as you regain your strength. The first 12 weeks after your operation are very important in terms of rebuilding strength and movement. You will be given a schedule of knee exercises to perform at home, and most patients are likely to be walking unaided, able to return to office duties and driving within 6 weeks. Within 12 weeks you should have significantly reduced pain and be able to resume low impact sport. Full recovery may take 6 months to one year.
Ask about any inpatient or outpatient, individual and group rehabilitation sessions that you can access through your hospital.

Knee Replacement FAQs
For patients without insurance, we offer self-funded knee replacement surgery options. While the exact costs will depend on your individual circumstances, our team is available to provide guidance and an estimate. To learn more or request a detailed quote, please contact us directly.
If you suffer from recurring knee pain and stiffness and you have already tried diet and exercise as well as anti-inflammatory medicines and therapy, a surgical procedure could be the next step. Your doctor may recommend it if you are experiencing:
- Difficulties with everyday tasks such as climbing the stairs, walking or getting up from a chair
- Stiffness and pain even when resting
- Inflammation and swelling
- No benefits from pain relief medications
Weeks 0-3
- Start to walk unaided and be able to stretch your knee out straight.
- Reduced swelling and inflammation
- Resume everyday tasks such as cooking and cleaning
- Return to office-based work
- Get approval for driving from your specialist
- Continued improvement in mobility and range of motion
- Resume swimming and cycling
- Significantly reduced pain
- Greatly improved range of knee motion
Here at St Vincent’s Private Hospitals, our focus is always on improving people’s lives. As one of the top healthcare providers in Australia, our specialists are committed to excellence in patient care across every aspect of your experience. We provide a welcoming and safe environment bringing you peace of mind every step of the way.
Contact us today to learn more about knee replacement procedure and to book a consultation with a surgeon.
Find a hospital with orthopaedic services
Our Hospitals